O nama

Dr Neda Nikolić je 1987. godine osnovala jednu od prvih stomatoloških ordinacija u Beogradu i započela polivalentnu stomatološku praksu koja je rešavala probleme iz svih oblasti stomatologije, uz insistiranje na najvišim estetskim i etičkim zahtevima struke.

Danas stručni tim predvođen dr Nedom Nikolić karakteriše kompletno zbrinjavanje pacijenta - od dijagnostičkih postupaka, preventive i informisanja pacijenata, do najnovijih tehnologija i materijala u izradi zubnih nadoknada, na osnovu znanja stečenih kontinuiranom edukacijom na brojnim stručnim skupovima u zemlji i inostranstvu.

Kroz više od dve decenije iskustva tradicionalno postoji saradnja sa doktorima nauka iz svih specijalnosti i vrhunskim zubnotehničkim laboratorijama, a skorim zapošljavanjem mladih kolega - i sa novom generacijom doktora stomatologije sa Beogradskog univerziteta.

Po čemu se izdvajamo?

Prva stomatološka ordinacija u Srbiji koja je uvela u proces rada protokole menadžmenta kvaliteta shodno principima ISO 9001 standarda, što znači najviši mogući kvalitet krajnjeg rezultata- na jednak način , kod svakog našeg pacijenta.

28. godina iskustva u privatnoj stomatološkoj praksi i zadovoljni pacijenti iz preko 20 zemalja.

Akcenat na kontinuranoj edukaciji kroz stručne publikacije i kongrese, najnovije tehnike primenjene u praksi

Stalna saradnja sa kolegama iz inostranstva

Savladavanje najvećeg izazova u stomatologiji: mogucnost potpune transformacije osmeha tzv. Smile make-over, bezbolno i brzo (slučajevi opsežnih promena u oralnoj regiji, gubitaka velikog broja zuba, posledice straha od stomatologa itd.)

Tim zubnih tehničara-saradnika i kurirskih službi koji tesno sarađuje sa dr Nedom Nikolić je na stalnom raspolaganju i omogućava vanredno brzu izradu kruna, mostova i proteza.

Pre svega, izdvajamo se po vrhunskom finalnom rezulatu!

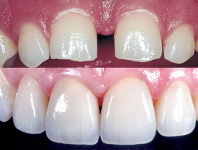
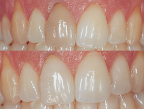
Estetska stomatologija

Estetske plombe, krune od cirkonijuma, beljenje zuba

Implantologija

Zamena jednog ili više nedostajućih zuba

Protetika

Krunica i mostovi od najsavremenijih materijala

Paradontologija

Sprečite upalu desni i progresivni gubitak zuba

Oralna hirurgija

Sve vrste operativnih zahvata u usnoj duplji

Dečija stomatologija

Stvaranje dobrih navika i poseban pristup u radu sa najmlađima

Naše usluge

Stojimo vam na raspolaganju za sve vrste stomatoloških usluga, od prvih dečijih poseta ordinaciji, do stomatologije trećeg doba. Pratimo vaše želje, od estetskih korekcija do kompleksnih hirurško-protetskih zbrinjavanja. Vodimo vas od prve dijagnostike, do potpune transformacije zuba!

Konsultativne usluge

  • Stomatološki pregled
  • Specijalističke konsultacije
  • Rendgen dijagnostika
  • Kompletan plan terapije

Preventivna stomatologija

  • Saveti i motivacija pacijenta
  • Instrukcija oralne higijene

Dečija stomatologija

  • Poliranje zuba i instrukcija oralne higijene
  • Plombiranje i lečenje mlečnih i stalnih zuba
  • Glas jonomer ispuni
  • Tretman nezavršenog rasta korena zuba
  • Vađenje zuba
  • Zalivanje fisura
  • Fluorizacija zuba

Bolesti zuba

  • Kompozitni ispuni
  • Endodoncija (lečenje kanala korena jednokorenih i višekorenih zuba)
  • Lečenje gangrene zuba

Estetska stomatologija

  • Zubni nakit (skyce)
  • Beljenje zuba
  • Beljenje lečenih zuba
  • Dental anti ageing - podmlađivanje osmeha
  • Estetske plombe
  • Bezmetalne krunice

Oralna hirurgija

  • Rutinska, komplikovana i hirurška ekstrakcija zuba
  • Resekcije vrha korena
  • Incizija apscesa
  • Konzervativno i hirurško zatvaranje maksilarnog sinusa
  • Terapija alveolita
  • Vađenje impaktiranih umnjaka
  • Tretman pacijenata rizika
  • Zaustavljanje krvarenja
  • Preprotetska priprema

Stomatološka protetika

  • Bezmetalne krunice i mostovi
  • Metalokeramičke krunice i mostovi
  • Livena nadogradnja
  • Fiberglas nadogradnja (FRC kočići)
  • Porcelanska faseta - veneer
  • Izrada privremenih kruna
  • Totalne proteze
  • Parcijalne proteze
  • Teleskop proteze
  • Proteze sa atečmenima
  • Valplast-fleksibilne proteze

Implantologija

  • Vodeći svetski implantni sistemi za zamenu jednog ili više nedostajćih zuba (Nobel Biocare, Straumann)

Paradontologija

  • Klinička dijagnostika i terapija
  • Bakterijski test desni, izrada antibiograma i ciljana terapija paradontopatije
  • Kauzalna terapija (uklanjanje mekih i čvrstih naslaga, ultrazvučno uklanjanje kamenca)
  • Obrada parodontalnih džepova, terapija parodontalnih apscesa
  • Paradontalna hirurgija
  • Regenerativna terapija parodoncijuma ugradnjom zamene za kost (BIO-OSS®) i membrane

Mukogingivalna hirurgija

  • Prekrivanje ogolićenih korenova zuba
  • Frenektomija
  • Uvećanje zubnog grebena

Ortodoncija

  • Dijagnostika ortodontskih anomalija
  • Plan i vođenje terapije pokretnim pločastim, funkcionalnim i fiksnim aparatima
  • Estetske bravice (plastične, keramičke, safirno staklo)
  • Terapija bruksizma - noćno škrgutanje zubima

Implantati

Vodeći svetski implantni sistemi za zamenu jednog ili više nedostajćih zuba (Nobel Biocare, Straumann)

Beljenje zuba

Postizanje željene boje zuba bezbednim i efikasnim metodama u samo jednoj poseti

Dijagnostika

Dijagnoza i izrada nekoliko mogućih planova terapije, u skladu sa vašim željama i mogućnostima

Multidisciplinarna stomatologija

Estetska stomatologija, lečenje parodontopatije i protetska nadoknada izgubljenih zuba

Bezmetalne krunice

Promena boje i oblika zuba pomoću krunica od cirkonijum oksida

Intraoralna kamera

Direktan vizuelni prikaz svih detalja zuba i usne duplje na LCD ekranu

Terapija bruksizma

Funkcionalna analiza viličnog zgloba i izrada zaštite protiv noćnog škrgutanja zubima

Mogućnosti plaćanja

Mogućnost plaćanja karticama ili čekovima na tri mesečne rate

Utisci pacijenata

Šarmantna porodična praksa sa duhom, pre svega cene su pristupačne, a rezultati su fantastični. Prestala sam da krijem osmeh na fotografijama. Hvala!

-Mila Đ.

Vi ste me naučili da pravilno održavam zube i rešili zubne probleme koji traju godinama.

-Bojan J.

 

Pre 21. godinu sam došla prvi put kod dr Nede i tada mi je urađeno kompletno zbrinjavanje zuba koji i danas jako lepo izgledaju. Dolazim redovno na održavanje dva puta godišnje.

-Vanja M.

Pre dolaska kod Dr Nede imala sam veliki strah od zubara i dugo sam odlagala rešavanje pitanja zuba. Za svega pet dana imala sam novi osmeh! Krunice su izgledale neverovatno prirodno, ništa me nije bolelo i zaista odlazim iz ordinacije prezadovoljna.

-Senka D.

Imate pitanje ili želite da zakažete besplatan pregled?

Pozovite nas radnim danom od 10-19h i subotom od 10-16h na telefon 063 / 288-511